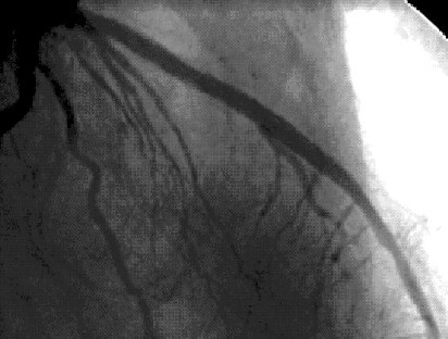
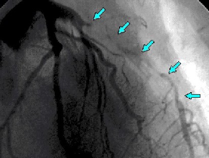
Caso C-3
Coronariografía

Se demuestra lesión larga de arteria descendente anterior, sin otras lesiones significativas. Se decide implante de stent.